Ten artykuł szczegółowo opisuje poważne choroby i powikłania zdrowotne nosa, które są bezpośrednim skutkiem zażywania amfetaminy donosowo. Dowiesz się, jak rozpoznać objawy, zrozumieć mechanizm uszkodzeń oraz poznać dostępne metody diagnozy i leczenia, aby podjąć świadome kroki w kierunku odzyskania zdrowia. Jako Nataniel Grabowski, zależy mi na tym, abyś miał pełną wiedzę na ten temat, ponieważ wczesna interwencja może znacząco wpłynąć na rokowania.
Amfetamina niszczy nos, powodując poważne choroby dowiedz się, jak rozpoznać objawy i szukać pomocy.
- Amfetamina donosowa zwęża naczynia krwionośne, prowadząc do niedotlenienia i martwicy tkanek nosa.
- Toksyczne zanieczyszczenia w amfetaminie dodatkowo chemicznie i mechanicznie uszkadzają delikatną śluzówkę.
- Wczesne objawy to uporczywe krwawienia, ból, strupy, uczucie zatkania oraz zmiany węchu i smaku.
- Poważne powikłania obejmują perforację przegrody nosowej, martwicę tkanek, a nawet deformację nosa siodełkowatego.
- Diagnoza wymaga badania laryngologicznego (endoskopia) i często tomografii komputerowej zatok.
- Leczenie jest możliwe, ale kluczowe jest całkowite odstawienie substancji; obejmuje metody zachowawcze i chirurgiczne.

Dlaczego amfetamina niszczy nos zrozum mechanizm problemu
Kiedy amfetamina jest zażywana donosowo, uruchamia się szereg procesów, które prowadzą do poważnych uszkodzeń. Zrozumienie tego mechanizmu jest absolutnie kluczowe, aby uświadomić sobie powagę problemu i podjąć odpowiednie kroki. To nie jest zwykłe podrażnienie to celowe, chemiczne i fizyczne niszczenie delikatnych struktur nosa.
Jak zwężanie naczyń krwionośnych prowadzi do niedotlenienia i obumierania tkanek?
Amfetamina jest silnym środkiem wazokonstrykcyjnym. Oznacza to, że po dostaniu się do nosa, powoduje gwałtowne i intensywne zwężenie naczyń krwionośnych w błonie śluzowej. Wyobraź sobie, że dopływ krwi do tkanki zostaje drastycznie ograniczony tak właśnie dzieje się w nosie. To prowadzi do niedokrwienia, a w konsekwencji do niedotlenienia komórek śluzówki. Długotrwałe niedotlenienie jest dla nich zabójcze; komórki zaczynają obumierać, co nazywamy martwicą. Z czasem proces ten może objąć również chrząstkę przegrody nosowej, która jest niezwykle wrażliwa na brak ukrwienia.
Toksyczne "wypełniacze" w amfetaminie cichy wróg Twojej śluzówki
Niestety, problem nie kończy się na samej amfetaminie. Substancje dostępne na czarnym rynku rzadko są czyste. Często są zanieczyszczone różnymi "wypełniaczami", które mają zwiększyć ich objętość i wagę. Mogą to być substancje takie jak sproszkowane szkło, tynk, kreda czy inne chemikalia. Te toksyczne dodatki działają jak cichy wróg, dodatkowo uszkadzając delikatną śluzówkę nosa. Działają zarówno mechanicznie, drapiąc i raniąc tkanki, jak i chemicznie, wywołując stany zapalne i przyspieszając procesy martwicze. To potęguje zniszczenia i sprawia, że uszkodzenia są jeszcze bardziej rozległe.
Bezpośrednie podrażnienie chemiczne co dzieje się w nosie tuż po zażyciu?
Niezależnie od domieszek, sama amfetamina ma silne działanie drażniące chemicznie. Bezpośrednio po zażyciu, substancja ta kontaktuje się z błoną śluzową nosa, wywołując natychmiastowe podrażnienie. Może to objawiać się pieczeniem, swędzeniem, a nawet ostrym bólem. To właśnie ten początkowy atak chemiczny rozpoczyna kaskadę uszkodzeń, prowadząc do stanów zapalnych i osłabienia naturalnych barier ochronnych nosa. To pierwszy, bezpośredni cios dla Twojej śluzówki.
Pierwsze sygnały alarmowe których nie wolno ignorować
Wczesne rozpoznawanie objawów jest absolutnie kluczowe dla zapobiegania poważniejszym powikłaniom. Jako Nataniel Grabowski, chcę podkreślić, że wymienione sygnały to nie są drobne dolegliwości, lecz poważne ostrzeżenia, których pod żadnym pozorem nie wolno lekceważyć. Im szybciej zareagujesz, tym większe masz szanse na skuteczne leczenie.
Uporczywe krwawienia z nosa kiedy stają się naprawdę niebezpieczne?
Krwawienia z nosa, znane medycznie jako epistaxis, są bardzo częstym objawem u osób zażywających amfetaminę donosowo. Wynikają one z wysuszenia i uszkodzenia delikatnych naczyń krwionośnych w śluzówce nosa. Początkowo mogą być sporadyczne i niezbyt obfite, jednak z czasem, w miarę postępujących uszkodzeń, mogą stać się częste, obfite i trudne do zatamowania. To sygnał, że tkanki są już bardzo osłabione i naczynia krwionośne kruche. Ignorowanie ich to proszenie się o poważniejsze problemy.Ból, strupy w nosie i uczucie wiecznego zatkania to więcej niż zwykły katar
Przewlekłe uczucie zatkanego nosa, uporczywy ból oraz nawracające strupy to objawy, które często są mylone ze zwykłym katarem czy przeziębieniem. Niestety, w przypadku zażywania amfetaminy, są one czymś znacznie poważniejszym. Świadczą o przewlekłym nieżycie nosa lub zapaleniu zatok, które rozwijają się na skutek ciągłego podrażnienia i uszkodzenia śluzówki. Ból może być tępy, uciskowy, często lokalizuje się w okolicy zatok. Strupy powstają w wyniku gojenia się mikrourazów i pęknięć śluzówki, a ich nawracanie to jasny sygnał, że procesy regeneracyjne są zaburzone.
Zmiany w węchu i smaku utracone zmysły jako dowód postępujących uszkodzeń
Uszkodzenia śluzówki nosa oraz struktur odpowiedzialnych za węch mają bezpośredni wpływ na Twoje zmysły. Wiele osób doświadcza zaburzeń węchu (anosmia lub hiposmia), a co za tym idzie, również smaku. Dzieje się tak, ponieważ receptory węchowe, kluczowe dla odczuwania aromatów, ulegają uszkodzeniu lub zniszczeniu. Utrata tych zmysłów to nie tylko dyskomfort, ale także wyraźny dowód na postępujące zmiany i uszkodzenia w obrębie jamy nosowej. To sygnał, że problem dotyka głębszych struktur.
Charakterystyczny świszczący oddech objaw, który może świadczyć o perforacji
Jednym z najbardziej niepokojących objawów, którego absolutnie nie wolno ignorować, jest charakterystyczny świszczący oddech, szczególnie podczas wdechu i wydechu przez nos. Ten dźwięk często świadczy o powstaniu ubytku, czyli dziury, w przegrodzie nosowej zjawisku zwanym perforacją. Powietrze, przechodząc przez ten ubytek, tworzy wiry, które generują świst. To bardzo poważny sygnał, który wymaga natychmiastowej konsultacji z laryngologiem. Perforacja przegrody nosowej to już zaawansowane stadium uszkodzeń.

Choroby nosa po amfetaminie od zapalenia po trwałe deformacje
Długotrwałe użycie amfetaminy donosowo prowadzi do konkretnych, poważnych schorzeń nosa, które mogą mieć trwałe konsekwencje nie tylko dla zdrowia, ale i dla wyglądu. To nie są przejściowe dolegliwości, lecz rzeczywiste choroby, które wymagają specjalistycznego leczenia. Jako Nataniel Grabowski, chcę Ci uświadomić, że te powikłania są realne i mogą znacząco obniżyć jakość życia.
Przewlekłe zapalenie zatok i nieżyt nosa błędne koło infekcji i bólu
Przewlekły nieżyt nosa i zapalenie zatok to jedne z najczęstszych wczesnych powikłań. Uszkodzona przez amfetaminę śluzówka traci swoje naturalne funkcje ochronne i oczyszczające. Staje się sucha, podrażniona i podatna na infekcje. Charakterystyczne objawy to ciągłe uczucie zatkania nosa, wodnisty lub ropny katar, ból w okolicy zatok (czołowych, szczękowych) oraz wspomniane już zaburzenia węchu. To błędne koło uszkodzona śluzówka łatwiej ulega nadkażeniom bakteryjnym i grzybiczym, które z kolei pogłębiają stan zapalny i ból. To sprawia, że codzienne funkcjonowanie staje się uciążliwe.
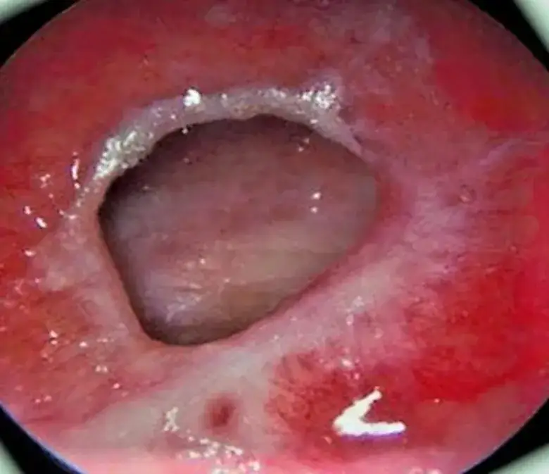
Perforacja przegrody nosowej cicha droga do powstania "dziury w nosie"
Perforacja przegrody nosowej to powstanie ubytku, czyli dziury, w chrząstce dzielącej jamy nosa. Jest to bezpośredni skutek martwicy niedokrwionej tkanki, która po prostu obumiera i znika. We wczesnej fazie perforacja może być niezauważalna, ale z czasem pojawiają się charakterystyczne objawy: świszczący oddech, nawracające strupy, krwawienia i uporczywe uczucie zatkania. Warto pamiętać, że perforacja może się powiększać, prowadząc do dalszych komplikacji. To poważne uszkodzenie, które wymaga interwencji medycznej.
Martwica (nekroza) tkanek najgroźniejsze, nieodwracalne powikłanie
Martwica, czyli nekroza tkanek, to najpoważniejsze i najbardziej dramatyczne powikłanie. Polega na obumarciu tkanek nosa, w tym nie tylko śluzówki i chrząstki, ale także skóry. Jest to proces nieodwracalny. W zaawansowanych przypadkach może prowadzić do rozległych uszkodzeń i utraty fragmentów nosa. Martwica jest bezpośrednim efektem długotrwałego i intensywnego niedokrwienia oraz toksycznego działania amfetaminy. Niestety, jej skutki są często trwałe i bardzo trudne do skorygowania.
Zapadnięcie grzbietu nosa ("nos siodełkowaty") widoczna konsekwencja zniszczeń
W najbardziej zaawansowanych przypadkach, gdy zniszczenie chrząstki przegrody nosowej jest rozległe, dochodzi do utraty jej funkcji podporowej. Chrząstka ta stanowi naturalne rusztowanie dla grzbietu nosa. Jej zniszczenie prowadzi do zapadnięcia się grzbietu nosa, tworząc charakterystyczną, trwałą i bardzo widoczną deformację estetyczną, nazywaną "nosem siodełkowatym". To nie tylko problem kosmetyczny, ale także funkcjonalny, utrudniający oddychanie. Jest to jeden z najbardziej rozpoznawalnych i niestety nieodwracalnych skutków długotrwałego zażywania amfetaminy donosowo.

Jak wygląda diagnoza do jakiego lekarza iść i czego się spodziewać
Wczesna i precyzyjna diagnoza jest absolutnie kluczowa dla skutecznego leczenia uszkodzeń nosa spowodowanych amfetaminą. Nie zwlekaj z wizytą u specjalisty. Jako Nataniel Grabowski, chcę Ci jasno wskazać, do jakiego lekarza należy się udać i jakich badań możesz się spodziewać, abyś czuł się przygotowany na ten ważny krok.
Laryngolog Twój pierwszy i najważniejszy krok w kierunku ratunku
W przypadku podejrzenia uszkodzeń nosa związanych z zażywaniem amfetaminy, laryngolog jest pierwszym i najważniejszym specjalistą, do którego należy się udać. To lekarz zajmujący się chorobami ucha, nosa, gardła i krtani. Ma on odpowiednie narzędzia i wiedzę, aby ocenić stan Twojego nosa, zdiagnozować problem i zaproponować plan leczenia. Nie bój się szukać pomocy laryngolog jest po to, aby Ci pomóc, a nie oceniać.
Na czym polega badanie endoskopowe nosa i dlaczego jest tak ważne?
Podstawową metodą diagnostyczną w gabinecie laryngologicznym jest badanie endoskopowe nosa. Polega ono na wprowadzeniu cienkiego, elastycznego lub sztywnego endoskopu z kamerą do jamy nosowej. Dzięki temu lekarz może dokładnie obejrzeć stan błony śluzowej, przegrody nosowej, ujść zatok oraz innych struktur. To badanie pozwala na wczesne wykrycie stanów zapalnych, owrzodzeń, perforacji czy innych uszkodzeń, które nie są widoczne podczas zwykłego badania wziernikiem. Jest ono kluczowe dla postawienia trafnej diagnozy i zaplanowania dalszego leczenia.
Tomografia komputerowa (TK) kiedy lekarz może zlecić to badanie?
W niektórych przypadkach, zwłaszcza gdy istnieje podejrzenie zmian w zatokach, rozległych uszkodzeń tkanek głębiej położonych lub gdy endoskopia nie dostarcza wystarczających informacji, lekarz może zlecić tomografię komputerową (TK) zatok. Jest to badanie obrazowe, które dostarcza szczegółowych informacji o strukturach kostnych i tkankach miękkich nosa i zatok. TK pozwala ocenić zakres zniszczeń, obecność stanów zapalnych w zatokach, a także dokładnie zlokalizować perforacje przegrody nosowej. To badanie jest niezwykle pomocne w planowaniu ewentualnej interwencji chirurgicznej.
Czy leczenie jest możliwe poznaj dostępne metody walki z uszkodzeniami
Chcę Cię zapewnić, że leczenie uszkodzeń nosa spowodowanych amfetaminą jest możliwe. Jednak wymaga to od Ciebie podjęcia zdecydowanych działań i ścisłej współpracy ze specjalistami. Nie ma magicznej pigułki, ale istnieją skuteczne metody, które mogą pomóc Ci odzyskać zdrowie i komfort. Jako Nataniel Grabowski, przedstawię Ci dostępne opcje, od metod zachowawczych po chirurgiczne.
Leczenie zachowawcze irygacje, maści i nawilżanie jako pierwsza pomoc dla śluzówki
We wczesnych stadiach uszkodzeń, a także jako wsparcie po zabiegach, stosuje się leczenie zachowawcze. Kluczowym elementem jest oczywiście całkowite zaprzestanie przyjmowania substancji bez tego żadne inne metody nie przyniosą trwałych rezultatów. Następnie, bardzo ważne jest regularne płukanie nosa i zatok roztworami soli morskiej (irygacje). Pomaga to oczyścić śluzówkę z zanieczyszczeń, nawilżyć ją i wspomóc naturalne procesy regeneracyjne. Dodatkowo, lekarz może zalecić stosowanie specjalnych maści i aerozoli nawilżających i regenerujących śluzówkę, które przyspieszają gojenie i łagodzą podrażnienia.
Chirurgia naprawcza kiedy operacja staje się jedynym ratunkiem?
W przypadku bardziej zaawansowanych uszkodzeń, takich jak perforacja przegrody nosowej, rozległa martwica tkanek czy znaczne deformacje nosa, interwencja chirurgiczna staje się często jedynym skutecznym ratunkiem. Leczenie operacyjne ma na celu nie tylko przywrócenie funkcji nosa, ale także poprawę jego estetyki. To poważna decyzja, ale w wielu przypadkach pozwala na znaczącą poprawę jakości życia i odzyskanie komfortu oddychania.
Septoplastyka, czyli rekonstrukcja przegrody nosowej jak odzyskać komfort oddychania?
Septoplastyka to operacja plastyki przegrody nosowej, która jest często wykonywana w celu zamknięcia perforacji. Podczas zabiegu chirurg może wykorzystać przeszczepy chrząstki lub błony śluzowej, pobrane z innych części ciała pacjenta, aby odbudować ubytek w przegrodzie. Celem jest nie tylko zamknięcie dziury, ale także przywrócenie prawidłowej anatomii nosa, co pozwala na odzyskanie komfortu oddychania i eliminację objawów takich jak świszczący oddech. W Polsce zabiegi te są refundowane przez NFZ, choć czas oczekiwania może być długi. Dostępne są również w sektorze prywatnym, co może skrócić czas oczekiwania.
Leczenie nosa siodełkowatego czy da się przywrócić dawny wygląd?
Deformacja nosa siodełkowatego to jedno z najbardziej widocznych i uciążliwych powikłań. W takich przypadkach przeprowadza się skomplikowane operacje rekonstrukcyjne. Chirurdzy wykorzystują przeszczepy chrząstki (np. z ucha lub żebra) lub kości, aby odbudować zniszczone rusztowanie nosa i przywrócić mu dawny wygląd oraz funkcję. Są to zabiegi wymagające dużej precyzji i doświadczenia, ale dają szansę na znaczącą poprawę estetyki i komfortu życia. To inwestycja w Twoje zdrowie i samopoczucie.
Przeczytaj również: Mefedron czy metamfetamina? Porównanie, skutki i ryzyko
Domowa regeneracja śluzówki co realnie możesz zrobić
Oprócz profesjonalnej opieki medycznej, istnieje wiele praktycznych wskazówek i metod, które możesz stosować w domu, aby wspomóc proces leczenia i regeneracji śluzówki nosa. Pamiętaj jednak, że te działania są uzupełnieniem, a nie zastępstwem dla konsultacji z lekarzem. Jako Nataniel Grabowski, chcę Ci dać narzędzia do aktywnego udziału w procesie zdrowienia.
Kluczowy warunek, bez którego nic się nie uda: całkowite odstawienie substancji
Powtórzę to jeszcze raz, ponieważ jest to absolutnie najważniejszy punkt: całkowite i bezwzględne zaprzestanie przyjmowania amfetaminy jest kluczowym i pierwszym warunkiem skutecznego leczenia i regeneracji uszkodzonych tkanek nosa. Bez tego kroku, żadne inne metody leczenia ani zachowawcze, ani chirurgiczne nie przyniosą trwałych rezultatów. Jeśli masz problem z odstawieniem substancji, poszukaj profesjonalnej pomocy w ośrodkach leczenia uzależnień. To fundament Twojego powrotu do zdrowia.
Nawilżanie powietrza i płukanie nosa solą morską proste, ale niezwykle skuteczne metody
Dwie proste, ale niezwykle skuteczne metody wspierające regenerację śluzówki to nawilżanie powietrza w pomieszczeniach oraz regularne płukanie nosa roztworami soli morskiej (irygacje). Suche powietrze dodatkowo podrażnia i wysusza uszkodzoną śluzówkę, dlatego używanie nawilżacza powietrza, zwłaszcza w sypialni, może przynieść ulgę. Regularne irygacje nosa solą morską pomagają oczyścić nos z zalegającej wydzieliny, strupów i zanieczyszczeń, a także nawilżają śluzówkę, wspierając jej naturalne funkcje obronne i regeneracyjne. To proste, tanie i bardzo pomocne działania, które możesz włączyć do swojej codziennej rutyny.
Dieta i suplementacja wspierająca odbudowę delikatnych tkanek nosa
Nie lekceważ roli odpowiedniej diety w procesie regeneracji. Zbilansowana dieta, bogata w witaminy i minerały, jest niezwykle ważna dla odbudowy i wzmacniania delikatnych tkanek nosa. Skup się na produktach bogatych w witaminę C (cytrusy, papryka), witaminę A (marchew, bataty), witaminę E (orzechy, nasiona) oraz cynk (mięso, rośliny strączkowe), które są kluczowe dla zdrowia skóry i błon śluzowych. Ewentualna suplementacja (np. witaminami z grupy B, kwasami omega-3) powinna być zawsze skonsultowana z lekarzem lub farmaceutą, aby upewnić się, że jest bezpieczna i odpowiednia dla Twojej sytuacji. Pamiętaj, że zdrowy organizm regeneruje się szybciej i efektywniej.
