Ten artykuł szczegółowo wyjaśnia, czym jest potocznie nazywany "kryształ", rozwiewając wątpliwości, czy odnosi się on do mefedronu czy metamfetaminy. Dowiesz się o kluczowych różnicach między tymi substancjami, ich działaniu, skutkach ubocznych oraz konsekwencjach prawnych, co jest kluczowe dla zrozumienia zagrożeń.
Kryształ to potoczne określenie, które może oznaczać zarówno mefedron, jak i metamfetaminę poznaj kluczowe różnice i zagrożenia.
- Termin "kryształ" w slangu narkotykowym jest niejednoznaczny i odnosi się zarówno do mefedronu (4-MMC), jak i metamfetaminy, ze względu na ich krystaliczną formę.
- Mefedron (4-MMC) to syntetyczny stymulant z grupy katynonów, znany jako "dopalacz", wywołujący euforię i silne uzależnienie psychiczne.
- Metamfetamina to pochodna amfetaminy, działająca znacznie silniej i dłużej, uznawana za jedną z najbardziej toksycznych i wyniszczających substancji psychoaktywnych.
- Obie substancje są w Polsce nielegalne (znajdują się w wykazie substancji psychotropowych grupy I-P), a ich posiadanie i handel grożą surowymi karami.
- Mimo różnic w intensywności działania i toksyczności, zarówno mefedron, jak i metamfetamina prowadzą do poważnych uszkodzeń fizycznych i psychicznych.
- Tanie narkotyki syntetyczne, często zanieczyszczone, stanowią duży problem w Polsce, przyczyniając się do ich łatwej dostępności.
Kryształ: Dlaczego ta nazwa wprowadza w błąd?
W polskim slangu narkotykowym termin "kryształ" jest źródłem znacznego zamieszania, ponieważ nie odnosi się jednoznacznie do jednej substancji. Potocznie określenie to może być stosowane zarówno w kontekście metamfetaminy, jak i mefedronu (4-MMC). Ta dwuznaczność wynika przede wszystkim z ich formy fizycznej obie substancje często występują w postaci krystalicznej. Dla osoby niezaznajomionej z chemicznymi niuansami, wygląd może być mylący, co prowadzi do błędnych założeń i, co gorsza, do nieświadomego narażania się na zupełnie inne ryzyko.
Mefedron (4-MMC) a metamfetamina: Kluczowe różnice
Choć obie substancje potocznie bywają nazywane "kryształem", z chemicznego punktu widzenia są to związki o odmiennej strukturze i mechanizmie działania. Mefedron (4-metylometkatynon, 4-MMC) to syntetyczny stymulant należący do grupy katynonów, często klasyfikowany jako "dopalacz". Jego popularność w Polsce wzrosła w latach 2008-2012. Z kolei metamfetamina to silnie uzależniająca pochodna amfetaminy, charakteryzująca się znacznie intensywniejszym i dłuższym działaniem na ośrodkowy układ nerwowy. Mimo że obie substancje wywołują pobudzenie i euforię, różnice w ich profilu farmakologicznym przekładają się na odmienne skutki zdrowotne i potencjał uzależniający.
Jak rozpoznać, z którą substancją masz do czynienia?
Wizualna identyfikacja narkotyków jest niezwykle trudna i niewiarygodna, a przede wszystkim niebezpieczna. Jedyną pewną metodą rozróżnienia substancji jest analiza laboratoryjna. Niemniej jednak, istnieją pewne typowe cechy, które mogą pomóc w orientacyjnym rozpoznaniu:
- Mefedron (4-MMC): Zwykle występuje jako biały lub żółtawy proszek, drobne kryształki, a także w formie tabletek lub kapsułek. Kolor może wahać się od czystej bieli po odcienie beżu czy żółci, w zależności od czystości i procesu produkcji.
- Metamfetamina ("crystal meth"): Najczęściej ma postać przezroczystych, błyszczących kryształów, przypominających lód lub szkło. Stąd właśnie wzięła się nazwa "crystal meth". Jej wygląd jest zazwyczaj bardziej jednolity i charakterystyczny niż mefedronu.
Pamiętajmy jednak, że te opisy są jedynie ogólnymi wskazówkami. Narkotyki z nielegalnych źródeł mogą być zanieczyszczone, zmieszane z innymi substancjami lub występować w nietypowych formach, co całkowicie uniemożliwia ich bezpieczną identyfikację bez specjalistycznego sprzętu.

Mefedron (4-MMC): Krótki przewodnik po 'królu dopalaczy'
Wygląd i metody przyjmowania: Od proszku po kapsułki
Mefedron, znany również jako 4-MMC, to substancja, która może przyjmować różne formy, co dodatkowo utrudnia jej rozpoznanie. Najczęściej spotykany jest jako biały lub żółtawy proszek, ale równie dobrze może występować w postaci drobnych kryształków, a także być sprzedawany w tabletkach lub kapsułkach. Typowe metody przyjmowania obejmują wciąganie do nosa (tzw. "sniffing"), połykanie (w formie proszku lub kapsułek), a w skrajnych przypadkach również iniekcje dożylne, co znacząco zwiększa ryzyko powikłań. Różnorodność form i metod aplikacji sprawia, że mefedron jest łatwo dostępny i "dyskretny" w użyciu, co niestety przyczynia się do jego szerokiej popularności.
Obiecana euforia: Krótkotrwałe efekty działania mefedronu
Mefedron działa jako silny stymulant, wywołując szereg intensywnych, choć krótkotrwałych efektów. Osoby zażywające tę substancję często doświadczają:
- Euforii i silnego poczucia szczęścia: Jest to jeden z głównych powodów, dla których ludzie sięgają po mefedron.
- Pobudzenia i zwiększonej energii: Użytkownicy czują się pełni sił, gotowi do działania, co może prowadzić do nadmiernej aktywności.
- Empatii i otwartości: Mefedron może zwiększać poczucie bliskości z innymi, sprzyjając gadatliwości i towarzyskości.
- Gadatliwości i zwiększonej pewności siebie: Osoby pod wpływem mefedronu często stają się bardziej rozmowne i śmiałe.
Niestety, krótki czas działania mefedronu (zazwyczaj od 30 minut do kilku godzin) jest jego pułapką. Szybkie ustępowanie efektów prowadzi do silnego przymusu ponownego zażycia, co z kolei zwiększa ryzyko przedawkowania i rozwoju uzależnienia.
Uzależnienie psychiczne po pierwszym razie: Prawda czy mit?
Mit czy prawda? W przypadku mefedronu, niestety, bliżej jest do prawdy. Mefedron charakteryzuje się niezwykle silnym potencjałem uzależniającym psychicznie, który u niektórych osób może rozwinąć się już po pierwszym zażyciu. To nie jest przesada. Mechanizm ten opiera się na intensywnym "cravigu", czyli nieodpartym przymusie ponownego zażycia substancji, aby odzyskać utracone poczucie euforii lub uniknąć nieprzyjemnych objawów odstawienia. Ten silny przymus często prowadzi do tzw. "ciągów" narkotykowych, podczas których osoba zażywa mefedron przez wiele godzin, a nawet dni, bez snu i jedzenia, co drastycznie wyniszcza organizm.
Mroczna strona 4-MMC: Skutki długofalowe i wyniszczający 'zjazd'
Długotrwałe używanie mefedronu prowadzi do poważnych i często nieodwracalnych uszkodzeń zarówno fizycznych, jak i psychicznych. Mówiąc o "mrocznej stronie" 4-MMC, mam na myśli szereg wyniszczających konsekwencji, które obejmują:
- Silne wahania nastroju, lęki, paranoje i halucynacje: Mefedron destabilizuje psychikę, prowadząc do poważnych zaburzeń.
- Problemy z sercem: Nadciśnienie, tachykardia (przyspieszone bicie serca), arytmie, a nawet zawały serca są częstymi powikłaniami.
- Bezsenność i wyczerpanie: Długotrwałe niedobory snu prowadzą do chronicznego zmęczenia i osłabienia organizmu.
- Szczękościsk i zgrzytanie zębami: Mimowolne napięcie mięśni żuchwy to powszechny objaw.
- Charakterystyczny, nieprzyjemny zapach potu: Wynika z metabolizmu substancji i jest często zauważalny u osób regularnie zażywających mefedron.
Po ustąpieniu działania narkotyku następuje tzw. "zjazd" stan głębokiego wyczerpania, depresji, lęku i drażliwości, który jest niezwykle trudny do zniesienia i często staje się kolejnym motywatorem do ponownego zażycia.

Metamfetamina, czyli 'kryształ': Charakterystyka jednego z najgroźniejszych stymulantów
Od 'piko' po 'ice': Wygląd i metody przyjmowania metamfetaminy
Metamfetamina, w swojej najczystszej postaci, czyli chlorowodorek metamfetaminy, występuje jako przezroczyste, błyszczące kryształy. To właśnie ta forma, przypominająca lód lub szkło, dała początek popularnej nazwie "crystal meth". W slangu narkotykowym substancja ta jest również znana jako "piko" lub "ice". Metody przyjmowania są różnorodne i wszystkie niosą ze sobą ogromne ryzyko. Metamfetaminę można palić (w specjalnych fajkach lub na folii), wciągać do nosa, połykać, a także, co jest szczególnie niebezpieczne, wstrzykiwać dożylnie. Każda z tych metod prowadzi do szybkiego wchłaniania i intensywnego działania, ale także do błyskawicznej destrukcji organizmu.
Potężny efekt i szybka destrukcja: Skutki używania 'kryształu'
Metamfetamina jest uznawana za jedną z najbardziej toksycznych i wyniszczających substancji psychoaktywnych. Jej działanie jest niezwykle intensywne i długotrwałe, a skutki dla organizmu są dewastujące. Osoby zażywające metamfetaminę doświadczają:
- Gwałtownego przypływu energii i euforii: Użytkownicy czują się niezwyciężeni, pełni mocy i szczęścia.
- Braku łaknienia i potrzeby snu: Metamfetamina potrafi utrzymać organizm w stanie czuwania nawet przez kilka dni, co prowadzi do skrajnego wyczerpania.
- Zwiększonej koncentracji i pewności siebie: Początkowo może wydawać się, że substancja poprawia funkcje poznawcze, jednak jest to złudne i krótkotrwałe.
- Wzrostu ciśnienia krwi i tętna: Co stanowi ogromne obciążenie dla układu sercowo-naczyniowego.
Niestety, te początkowe "pozytywne" efekty szybko ustępują miejsca wyniszczającym konsekwencjom, które prowadzą do szybkiej degradacji fizycznej i psychicznej.
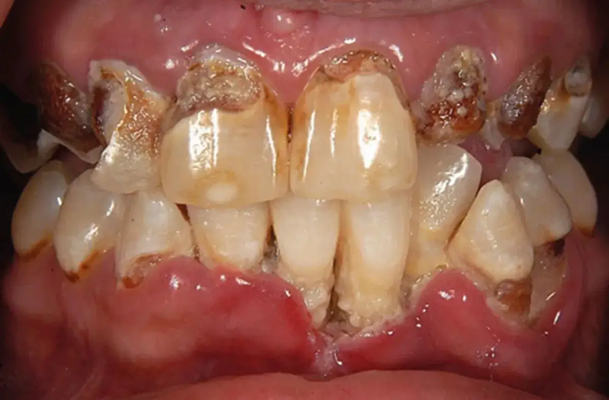
Jak metamfetamina niszczy ciało? O 'meth mouth' i uszkodzeniach mózgu
Długotrwałe używanie metamfetaminy prowadzi do katastrofalnych, często nieodwracalnych uszkodzeń w całym organizmie. Substancja ta jest silnie neurotoksyczna, co oznacza, że bezpośrednio uszkadza komórki mózgowe, prowadząc do trwałych zaburzeń funkcji poznawczych, pamięci i nastroju. Ponadto, wyniszcza układ sercowo-naczyniowy, powodując choroby serca, udary i zawały. Użytkownicy często doświadczają drastycznej utraty wagi, problemów skórnych (np. tzw. "robaki pod skórą", czyli halucynacje dotykowe prowadzące do rozdrapywania skóry) oraz charakterystycznego, rozległego zniszczenia zębów, znanego jako "meth mouth". Jest to wynik połączenia zaniedbań higienicznych, suchości w ustach, bruksizmu (zgrzytania zębami) i kwasowego środowiska w jamie ustnej, co prowadzi do szybkiej próchnicy i utraty zębów.
Meth mouth to nie tylko problem estetyczny, ale sygnał głębokiego wyniszczenia organizmu przez metamfetaminę, często nieodwracalnego.

Psychoza metamfetaminowa: Gdy narkotyk przejmuje kontrolę nad rzeczywistością
Jednym z najbardziej przerażających i wyniszczających skutków używania metamfetaminy są ciężkie zaburzenia psychiczne, znane jako psychoza metamfetaminowa. Charakteryzuje się ona urojeniami prześladowczymi, silną paranoją, halucynacjami (zarówno wzrokowymi, jak i słuchowymi), a także skrajną agresją i utratą kontaktu z rzeczywistością. Osoba w stanie psychozy może być niebezpieczna zarówno dla siebie, jak i dla otoczenia, ponieważ jej postrzeganie świata jest całkowicie zniekształcone przez działanie narkotyku. Te epizody psychotyczne mogą trwać wiele dni i, co gorsza, mogą prowadzić do trwałych zmian w mózgu, zwiększając ryzyko rozwoju przewlekłych chorób psychicznych, nawet po odstawieniu substancji.Mefedron kontra metamfetamina: Starcie gigantów destrukcji
Potencjał uzależniający: Która substancja szybciej zniewala?
Zarówno mefedron, jak i metamfetamina posiadają niezwykle wysoki potencjał uzależniający, jednak mechanizmy i szybkość zniewolenia mogą się nieco różnić. Mefedron charakteryzuje się niezwykle silnym przymusem ponownego zażycia (craving), który pojawia się niemal natychmiast po ustąpieniu krótkotrwałych efektów euforii. To prowadzi do błyskawicznego wpadania w długie "ciągi" narkotykowe. Metamfetamina z kolei, choć również wywołuje silny craving, jest powszechnie uznawana za bardziej neurotoksyczną i prowadzącą do szybszej oraz głębszej degradacji fizycznej i psychicznej. Jej długotrwałe działanie i intensywność euforii sprawiają, że uzależnienie rozwija się na głębszym poziomie, niszcząc mózg i ciało w zastraszającym tempie.
Różnice w działaniu: Czas trwania, intensywność i rodzaj doznań
Aby lepiej zrozumieć odmienność tych dwóch substancji, przygotowałem tabelę porównawczą ich kluczowych cech działania:
| Cecha | Mefedron (4-MMC) | Metamfetamina |
|---|---|---|
| Czas trwania efektów | Krótki (30 min - kilka godzin) | Długi (6-24 godziny, a nawet dłużej) |
| Intensywność pobudzenia | Silne, z elementami empatii | Bardzo silne, gwałtowny przypływ energii |
| Rodzaj wywoływanych doznań | Euforia, empatia, gadatliwość, poczucie bliskości | Intensywna euforia, czysta energia, brak potrzeby snu/jedzenia |
| Typowe skutki uboczne | Wahania nastroju, lęki, tachykardia, szczękościsk, "zjazd" | Psychozy, paranoje, halucynacje, "meth mouth", drastyczna utrata wagi, uszkodzenia mózgu |
Porównanie toksyczności: Który narkotyk powoduje większe spustoszenie?
Bezpośrednie porównanie toksyczności tych substancji jasno wskazuje, że metamfetamina jest powszechnie uważana za bardziej neurotoksyczną i prowadzącą do szybszej oraz głębszej degradacji fizycznej i psychicznej organizmu. Jej wpływ na mózg jest dewastujący, prowadząc do trwałych uszkodzeń i zaburzeń psychicznych. Nie oznacza to jednak, że mefedron jest bezpieczny. Wręcz przeciwnie, również powoduje on poważne uszkodzenia, zwłaszcza w układzie sercowo-naczyniowym (nadciśnienie, arytmie, zawały) oraz psychice (silne lęki, paranoje, długotrwałe stany depresyjne po "zjeździe"). Obie substancje są śmiertelnie niebezpieczne, a ich regularne zażywanie prowadzi do nieodwracalnych konsekwencji zdrowotnych.
Profil użytkownika w Polsce: Kto i dlaczego sięga po te substancje?
W Polsce problem tanich narkotyków syntetycznych jest szczególnie widoczny. Substancje takie jak pochodne mefedronu (np. klefedron) są niezwykle popularne, zwłaszcza wśród młodzieży, z kilku kluczowych powodów: niska cena i łatwa dostępność. Często koszt "działki" jest niższy niż cena piwa, a narkotyki te są łatwo dostępne, często przez internet, co sprawia, że bariera wejścia jest bardzo niska. Niestety, Polska jest również jednym z czołowych producentów amfetaminy i metamfetaminy w Europie, co dodatkowo wpływa na ich dostępność na rynku. Ryzyko związane z tymi substancjami jest potęgowane przez fakt, że produkcja często odbywa się w prymitywnych, niekontrolowanych warunkach, co skutkuje dużą ilością zanieczyszczeń chemicznych w finalnym produkcie. Te zanieczyszczenia zwiększają toksyczność narkotyku i czynią go jeszcze bardziej niebezpiecznym dla zdrowia.
Mefedron i kryształ w świetle polskiego prawa: Co mówią przepisy?
Twarde konsekwencje: Jakie kary grożą za posiadanie i handel?
W świetle polskiego prawa, zarówno mefedron (4-metylometkatynon), jak i metamfetamina są substancjami nielegalnymi. Ustawa o przeciwdziałaniu narkomanii przewiduje surowe kary za wszelkie działania związane z tymi narkotykami. Posiadanie nawet niewielkich ilości na własny użytek jest przestępstwem, za które grozi kara pozbawienia wolności. Znacznie poważniejsze konsekwencje czekają osoby zajmujące się produkcją, przetwarzaniem, importem, eksportem, a zwłaszcza handlem tymi substancjami. W zależności od ilości narkotyku i charakteru przestępstwa, kary mogą sięgać od kilku do nawet kilkunastu lat pozbawienia wolności. W mojej ocenie, jest to jasny sygnał, że państwo traktuje te substancje jako poważne zagrożenie społeczne.
Ustawa o przeciwdziałaniu narkomanii: Gdzie znajdują się obie substancje?
Zarówno mefedron, jak i metamfetamina zostały umieszczone w wykazie substancji psychotropowych w grupie I-P. Oznacza to, że są to substancje o wysokim potencjale uzależniającym, które nie posiadają żadnych uznanych zastosowań medycznych. Ich obecność w tej grupie świadczy o ich szczególnym zagrożeniu dla zdrowia publicznego i uzasadnia ścisłą kontrolę prawną. Klasyfikacja ta jest kluczowa dla organów ścigania i wymiaru sprawiedlistwa, ponieważ precyzyjnie określa status prawny tych narkotyków i podstawę do stosowania odpowiednich sankcji.
Przeczytaj również: Amfetamina w dziąsła: Pułapka dla zdrowia jamy ustnej i organizmu
Dlaczego tanie narkotyki syntetyczne są tak wielkim problemem w Polsce?
Problem tanich i łatwo dostępnych narkotyków syntetycznych w Polsce jest złożony i ma wiele wymiarów. Ich niska cena, często niższa niż piwo, oraz łatwość pozyskania (często przez internet, darknet czy od lokalnych dilerów) sprawiają, że są one szczególnie atrakcyjne dla młodych ludzi, którzy często nie są świadomi skali zagrożenia. Co więcej, produkcja tych substancji w prymitywnych, nielegalnych laboratoriach, często bez zachowania podstawowych standardów bezpieczeństwa i higieny, prowadzi do powstawania produktów o zmiennym składzie i dużej ilości toksycznych zanieczyszczeń. To z kolei zwiększa ryzyko poważnych zatruć, uszkodzeń organów i nieprzewidywalnych reakcji organizmu. W efekcie, mamy do czynienia z substancjami, które są nie tylko silnie uzależniające, ale także niezwykle niebezpieczne ze względu na ich niekontrolowany skład i toksyczność, stanowiąc realne zagrożenie dla zdrowia i życia wielu Polaków.
